こんにちは。東京動物皮膚科センター/神宮前動物病院、歯科担当の森田です。
今回のコラムでは、「犬の歯冠吸収病巣」について解説します。
猫でよく見られる病気ですが、実は犬でも発生することがあります。
特に高齢犬や歯周病のある犬で起こりやすく、進行すると痛み・食欲低下・顎のトラブルにつながるため注意が必要です。
犬の歯冠吸収病巣とは?

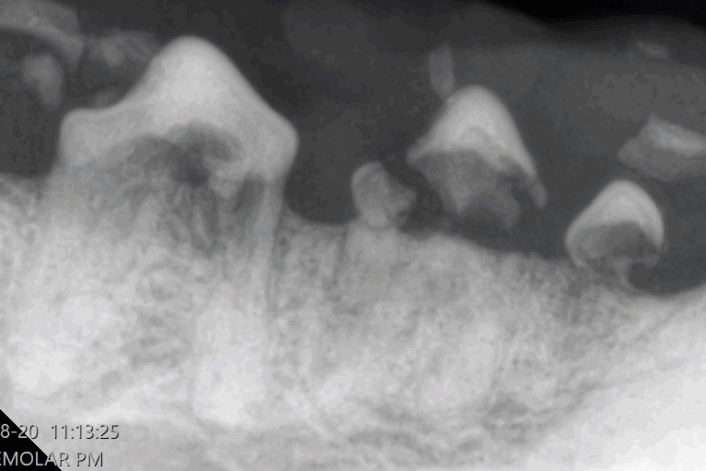
歯冠吸収病巣は、歯の表面(エナメル質・象牙質)が破壊され、徐々に歯が溶けていく病気です。
外からは正常に見えても、レントゲンで初めて異常が確認されるケースが多くあります。
放置すると抜歯が必要になる場合もあり、早期発見と歯科検診(レントゲン)が重要です。


主な症状
- 固いおやつを避ける
- 片側だけで噛む
- 歯磨きの時に強い痛みを示す
- 歯に赤い穴や欠けがある
治療
吸収された歯は自然には戻らないため、進行度によって抜歯が選択されることが一般的です。
痛みや感染のリスクが高いため、放置すると食欲低下や顎の痛み、二次的な膿瘍などを引き起こす恐れがあります。
また、早期に見つけて対応すれば、愛犬の負担を最小限に抑えることができます。
この病気は外から見てわからないことが多いため、歯科健診とレントゲン検査がとても重要です。全身麻酔下での口腔検査には不安を感じる飼い主さまもいらっしゃいますが、歯の健康を守るためには欠かせません。
歯冠吸収病巣のステージ分類(AVDC:アメリカ獣医歯科学会)
| ステージ | 特徴 | 飼い主向けの解説 |
|---|---|---|
| ステージ 1 | 歯の表面(エナメル質)のごく一部が吸収されている。X線上でわずかな変化。 | 肉眼ではまず見つけられない。痛みもほとんどない段階。経過観察になることも。 |
| ステージ 2 | 吸収が象牙質まで進行。ただし歯髄(神経)までは到達していない。 | 外から見ても変化は分かりにくいが、冷たい物や噛むことへの反応が出ることがある。治療介入を検討。 |
| ステージ 3 | 吸収が歯髄に達する。内部の神経や血管も影響を受けている。 | 痛みが明確になる。食欲低下や咀嚼の偏りが見られることも。通常は抜歯対象。 |
| ステージ 4 | 歯の構造の大部分が破壊されている。 4a:歯冠と歯根が同程度に破壊 4b:歯冠の破壊が優位 4c:歯根の破壊が優位 | 歯が欠けていたり、穴があいているように見えることも。症状が進行しやすく、感染や膿瘍のリスクも。基本的に抜歯が推奨。 |
| ステージ 5 | 歯冠は消失し、歯根が歯肉や骨と癒合(アンキローシス)している。 | 肉眼では歯がなくなって見える。レントゲン上で骨と癒着していることがわかる。処置の必要がない場合もあるが、場合によっては外科的に除去が必要。 |
吸収された歯は元に戻らないため、進行度に応じて抜歯処置が一般的です。
特にステージ3以降は痛みや感染リスクが高く、治療を急ぐ必要があります。
まとめ
- 犬でも歯冠吸収病巣は起こる
- 高齢犬や歯周病犬でリスクが高い
- レントゲンによる歯科検診が必須
- 放置すると強い痛みや感染に進行する
東京都渋谷区・港区で犬や猫の歯科精査をご希望の方は、東京動物皮膚科センター/神宮前動物病院へご相談ください。
📞 03-3403-8012(歯科診療担当:森田)