こんにちは。歯科担当の森田です。
今回は 犬の「埋伏歯」 について解説します。
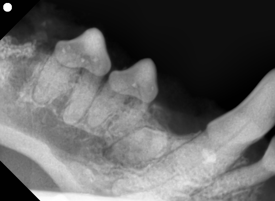
埋伏歯とは?
埋伏歯とは、本来萌出するはずの永久歯が、歯肉や顎の骨の中にとどまって出てこない状態を指します。
「歯が少ない=欠如歯」と思われがちですが、実際には X線検査を行うことで埋伏している歯が見つかることもあります。


欠如歯と埋伏歯の鑑別
- 欠如歯:そもそも歯の芽(歯胚)が存在しない
- 埋伏歯:歯胚は存在するが、萌出できずに歯肉や骨の中に残っている
外見上は「歯が生えていない」だけなので、鑑別には 歯科レントゲン撮影 が必須です。
埋伏歯が引き起こすリスク
埋伏歯は放置しても問題ない場合がありますが、以下のようなリスクが知られています。
- 嚢胞(歯原性嚢胞)形成:歯を包む組織から嚢胞が発生し、骨を溶かすことがある
- 周囲の歯や骨への影響:膨らんだ嚢胞が周囲の歯を圧迫したり、骨の脆弱化を招く
- 感染や炎症:二次的に感染し、痛みや腫れを伴うことがある
埋伏歯の好発部位
犬における埋伏歯は、特に以下の部位に多く報告されています:
- 上顎犬歯(104 / 204)
- 上顎切歯(特に第1切歯 101 / 201、第2切歯 102 / 202)
- 下顎犬歯(304 / 404)は比較的少ないが、報告あり
小型犬種や短頭種に好発し、特に シーズー、マルチーズ、トイプードル などで多く認められます。
嚢胞形成のリスク
埋伏歯の臨床上の問題は、周囲組織に発生する 歯原性嚢胞 です。
- 報告によって差はありますが、埋伏歯に関連して約30〜50%で嚢胞形成が確認されたとされています。
- 嚢胞は無症状に進行し、気づいたときには顎骨の広範な吸収や病的骨折につながるケースもあります。
そのため、無症状であっても「埋伏歯=潜在的リスク」と捉え、適切な診断と経過観察が重要です。
治療ガイドラインの考え方(参考:AAHA, AVDC基準)
複数歯の埋伏 → 全身性疾患との関連(エナメル形成不全、遺伝的素因)も念頭に評価
嚢胞形成あり/骨吸収あり → 外科的抜歯(推奨)
・嚢胞壁を含めた摘出が基本
・大きな骨欠損がある場合は骨補填材(合成骨、PRP、GTR法など)を検討
埋伏歯のみ、病変なし → 定期的なレントゲンモニタリング
・少なくとも6〜12か月ごとにチェック
・若齢期や好発犬種では、予防的抜歯も考慮される
- 無症状で小さい場合は、定期的なX線チェックで経過観察することもあります。
- 嚢胞形成や周囲への影響が見られる場合は、外科的に埋伏歯を抜歯することが推奨されます。
まとめ
「うちの子は歯が少ない?」と思ったら、実は埋伏歯が隠れている可能性もあります。
特に 小型犬や短頭種 では発生が比較的多いため、歯科検診やX線検査で確認することをおすすめします。
👉 犬の口腔トラブルは早期発見・早期対応が大切です。
気になる方は、ぜひ当院までお気軽にご相談ください。
📞 ご予約・お問い合わせ:03-3403-8012
(東京動物皮膚科センター/神宮前動物病院)