高齢犬に多い歯周病の合併症「口腔鼻腔瘻」
犬の歯周病が進行すると、歯を支える骨が溶けてしまい、口腔と鼻腔がつながってしまう「口腔鼻腔瘻(こうくうびくうろう)」が発生することがあります。
この状態では、食べ物や唾液が鼻へ入り込み、くしゃみ・鼻水・鼻出血・慢性的な鼻炎の原因となります。特に小型犬や高齢犬で多く見られる病態です。
症例紹介
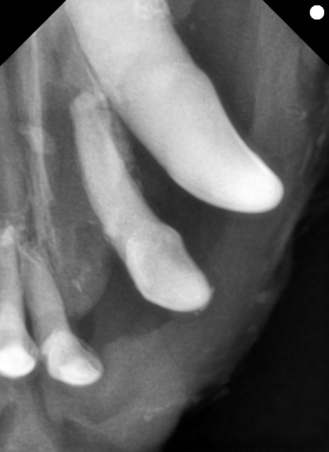
今回の症例は、16歳の高齢トイプードルです。

- 左上顎の切歯および犬歯に口腔鼻腔瘻を確認
- 歯周病の進行によって歯槽骨が大きく吸収されていました

治療として、問題の歯を抜歯し、さらに歯肉フラップを形成して瘻孔を閉鎖する手術を行いました。
治療の流れ
- 抜歯
感染源となっている歯を完全に抜去 - フラップ形成
周囲の歯肉を丁寧に剥離し、瘻孔を覆うように縫合 - 術後管理
抗生剤や鎮痛薬の投与、軟らかい食事で口腔の安静を保つ


術後は良好に経過し、鼻炎症状も改善が見られました。
まとめ
口腔鼻腔瘻は、進行した歯周病のサインです。
- 鼻水が長引く
- 食事中にくしゃみをする
- 口臭が強い
こうした症状が見られたら、早めに動物病院で口腔内をチェックしてもらいましょう。
定期的な歯科検診と歯石除去で、重度歯周病や口腔鼻腔瘻の予防が可能です。