歯科担当獣医師の森田です!
今回のブログでは抜歯処置及び口腔外科手術が必要な重度の歯周病を解説します。
このブログを参考にお家のワンちゃん猫ちゃんの歯についてぜひ理解を深めていただければと思います。
⚠️このブログでは血液や膿の写真が掲載されていますため、苦手な方はご注意ください。
全身麻酔と基礎疾患
下の写真を見てみましょう。
口臭があり歯がグラグラする主訴でいらした患者さんです。
この方は心臓病や糖尿病などの既往歴もあり、なかなか全身麻酔に踏み込めないといったご事情もありました。

可能であれば機能歯(犬歯や大臼歯などの日常生活で犬が使用する歯)を残してあげたいというご希望もございましたが、
今後複数回にわたって全身麻酔下で治療を行うことが難しいといったご年齢、既往歴(心臓病・糖尿病)もあったため1回の処置で歯科治療を完結できるよう、多くの歯の抜歯を行いました。
抜歯の適応
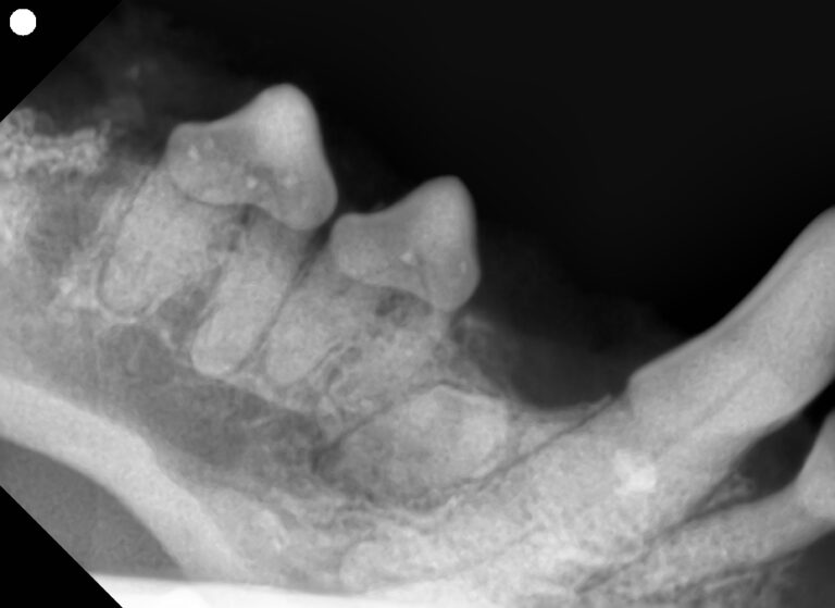
下の写真を見てみましょう。


左下顎の第四前臼歯から第三後臼歯にかけて、歯根や歯根の分岐部が見えています。
歯科レントゲンを撮影してみるとやはり歯槽骨の融解が進んでいました。

この歯はアタッチメントロスが50%以上、多根歯でステージⅢの根分岐病変を認めたため重度歯周病として抜歯が適応となります。
多くの歯を抜歯する場合、動物の負担を軽減するため全身麻酔中であっても強い痛み止めと局所麻酔を併用します。
術後も2種類の痛み止めと抗生物質を処方いたしました。

麻酔後は大きな合併症もなく、その日のうちにお家に帰れるほどでした。
まとめ
このように、麻酔のリスクや基礎疾患を加味し治療プランを患者さんに合わせて組み立てています。
お口のトラブルでお悩みでも麻酔に対して不安があるという方はぜひ当院の歯科をご受診ください。
高齢であっても、ご持病があっても、歯周病治療と向き合うことの大切さを学ばせて頂いた症例のご紹介でした。
神宮プライス動物病院の予約はコチラ⬇︎
03-3403-8012(歯科診療担当 森田まで)